Продолжая пользоваться сайтом, вы принимаете условия и даете согласие на обработку пользовательских данных и cookies

Подписаться на пуш-уведомления
18+
  • Здоровье
  • Здоровье
Здоровье

Поделиться:

Что нужно знать о ВПЧ и как защититься от инфекции, которая не лечится и приводит к раку

Вирус папилломы человека — очень распространенная инфекция, передаваемая половым путем. Часто она протекает без симптомов, при этом некоторые типы ВПЧ могут привести к серьезным последствиям в виде рака шейки матки и других онкологических заболеваний. Врач-терапевт, автор популярного медицинского блога «Доктор Фил» Филипп Кузьменко рассказывает все, что нужно знать о вирусе и защите от него.  

 

Вирус папилломы человека — что это такое?

ВПЧ — это большая группа вирусов, которые поражают кожные покровы. На них впоследствии развиваются генитальные бородавки. В целом, это не опасно: несмотря на то, что большинство людей на протяжении жизни заражаются этим возбудителем, чаще всего инфицирование заканчивается самопроизвольным выздоровлением (то есть вирус просто уничтожается нашим иммунитетом). Однако есть типы ВПЧ, которые могут привести к развитию онкологических заболеваний – и вот их бояться уже стоит.

На данный момент описано более 190 типов ВПЧ, из которых выделяют вирусы низкого и высокого онкогенного риска — в зависимости от их возможности вызвать рак. На долю двух высокоонкогенных типов ВПЧ (16 и 18) приходится до 70% случаев рака шейки матки, а также 80% рака вульвы и влагалища, 92% анального рака, 95% рака ротовой полости, 89% рака ротоглотки, 63% рака полового члена. Неонкогенные типа ВПЧ (6 и 11) рак не вызывают, но являются причиной практически всех видов генитальных бородавок.

Как заражаются ВПЧ?

Источником является больной человек или носитель. Заражение происходит при контакте слизистых оболочек, то есть при любом виде незащищенного полового акта. Но вирус также может попасть в организм и без секса – достаточно «потереться» своими гениталиями о гениталии другого человека. Например, если просто спите вместе.

Риск передачи даже при однократном незащищенном половом контакте равен 80%. Особенно у девушек, не достигших половой зрелости – в период полового созревания в матке происходит биотрансформация половой системы: один вид клеток замещается на другой. Этот «строительный» процесс облегчает проникновение вируса в клетки.

До 70–80% сексуально активного населения инфицируется ВПЧ в течение жизни. По данным ВОЗ, ежегодно отмечается около 6 млн новых случаев инфицирования. Однако оценить ее истинную распространенность невозможно, так как большинство случаев инфицирования протекает бессимптомно и заканчивается самоизлечением. Единственный симптом — специфические бородавки, а вот никаких болей и температуры при ВПЧ нет.

 

Это очень опасно?

У 5–10% пациентов ВПЧ не уходит, что в конечном итоге может приводить к появлению доброкачественных или злокачественных новообразований слизистых оболочек там, куда попал и где поселился вирус: рак шейки матки и цервикального канала, ануса, пениса, рта и горла. Интервал между инфицированием ВПЧ и прогрессированием до инвазивного рака составляет, как правило, 10 лет или более.

Симптомы ранней стадии рака шейки матки:

  • Нерегулярные кровянистые выделения или легкие кровотечения между менструациями у женщин репродуктивного возраста;
  • Постменопаузальное пятнистость или кровотечение;
  • Кровотечение после полового акта;
  • Повышенные выделения из влагалища, иногда с неприятным запахом.

Кто в зоне риска? 

  • Раннее начало половой жизни (увеличивает риск инфицирования в 22 раза);
  • Частая смена половых партнеров;
  • Частые роды и аборты;
  • Сопутствующая урогенитальная инфекция и нарушения биоценоза влагалища;
  • Курение;
  • Иммунодефицитные состояния;
  • Наследственная предрасположенность;
  • Гормональные факторы.

Как диагностировать ВПЧ?

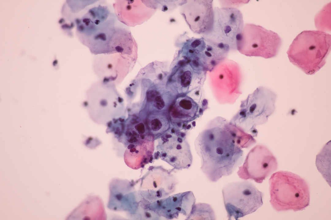
Если врач нашёл у вас характерные бородавки, значит ВПЧ у вас уже есть (но необязательно, что он онкогенный). Гинекологи для выявления ВПЧ применяют цитологический метод (мазок из влагалища) – микроскопия слущенных клеток с окраской по Папаниколау (Пап-тест). Однако, возможны ложнонегативные результаты, так как чувствительность Пап-теста, по данным метанализов, составляет всего около 60%. С мужчинами дело обстоит сложнее — им провериться на ВПЧ и определить его тип невозможно.

Как это лечится?

Если у вас нашли неонкогенный тип ВПЧ, то достаточно регулярно проверяться у гинеколога. Если онкогенный, то регулярные осмотры у гинеколога пропускать нельзя ни в коем случае — только так у вас будет возможность вовремя поймать предрак.

Если врач назначил вам какие-то таблетки, капельницы или уколы, пытаясь вылечить вас от ВПЧ – найдите другого специалиста. От ВПЧ нельзя избавиться с помощью лекарств. Достаточно ждать, и наблюдаться. Если в клетках нет изменений, то вирус уйдёт сам.

Можно ли защититься от ВПЧ?

Основа профилактики – это вакцинация. Она может защитить вас от ВПЧ, но не от всех видов, а только самых злых, которые вызывают рак. Вакцинацию рекомендуется проводить девочкам и женщинам в возрасте от 9 до 26 лет, а также мальчикам или мужчинам в возрасте от 9 до 21 года (но можно и до 26 лет).

Многие задают вопрос: точно ли она помогает? Да, имеются доказательства высокого качества в пользу того, что вакцины против ВПЧ защищают от рака шейки матки девушек подросткового возраста и женщин, вакцинированных в возрасте от 15 до 26 лет.

Какую вакцину выбрать?

На российском рынке доступны 2 вакцины – это«Гардасил» и «Церварикс». Обе направлены против 16-го и 18-го штаммов, но после вакцинации происходит формирование иммунитета от еще ряда подтипов вируса, так как они очень похожи друг на друга. «Гардасил» также дополнительно защищает от 9 и 11 подтипов.

Вакцинация против ВПЧ — удовольствие не из дешевых. Полный курс вакцинации (3 штуки) стоит примерно 15-21 тысяч рублей. Пока он не вошел в Национальный календарь прививок и бесплатно не доступен.

Если я сделаю прививку, я излечусь от вируса?

Вакцины не способны убрать вирус из организма, если он уже там живёт. Они защищают от самого факта заражения. Поэтому проводить вакцинацию нужно до начала половой жизни. После этого эффективность вакцинации снижается, так как ВПЧ очень широко распространены в популяции, и скорее всего вас уже заразили. При этом есть сведения, что если сделать прививку после начала половой жизни (и даже после 26 лет), то эффект всё равно будет. Вакцинация снижает риск развития аномалий цервикального канала и других гинекологических проблем. Так что при наличии желания и лишних средств вакцинацию пройти можно.

Женщинам, планирующим беременность, следует отложить вакцинацию до ее завершения. Если молодая женщина забеременела после начала серии вакцинации, введение оставшейся дозы должно быть отложено до окончания беременности. Грудное вскармливание не является противопоказанием для вакцинации против ВПЧ.

И да, заразиться ВПЧ от самой вакцины невозможно. Потому что они не содержат сам вирус – только его раздробленные опознавательные знаки, чтобы иммунитет познакомился с врагом и выработал антитела. После прививки могут быть только побочные эффекты — редко встречается покраснение, небольшое повышение температуры, головная боль, головокружение, тошнота. Но ничего криминального.

Что ещё поможет для профилактики?

Как вы помните, сам по себе вирус не опасен. Он страшен тем, что может вызвать онкологию. Поэтому важно посещать врача и проводить ПАП-тест:

  • с 21 до 29 лет каждые 3 года,
  • + HPV-тест старше 30 лет каждые 5 лет

HPV тест выявляет уровень концентрации вируса папилломы человека в организме, при котором развивается неоплазия шейки матки. Чем выше уровень – тем больше риск. Чтобы уменьшить риск заражения ВПЧ, старайтесь избегать половой близости с малознакомыми людьми. Презервативы дают 70-процентную гарантию защиты от передачи вирусного патогена здоровому человеку во время секса. К тому же это средство контрацепции помогает уберечься от большинства венерических заболеваний.

Следите за нашими новостями в Telegram

Комментарии (0)

Наши проекты

Купить журнал: